CABINET DENTAIRE CIPRIANI
Chirurgiens-Dentistes-Implantologie à Saint Ouen
 

Blog - Page 6

Le mouvement normal de l’articulation temporo-mandibulaire

Le mouvement normal de l’articulation temporo-mandibulaire

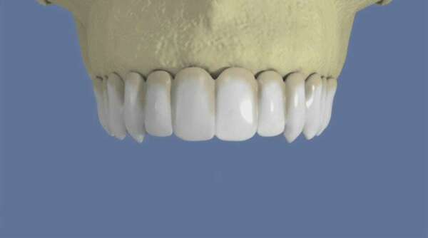
Maxillaire : bridge vissé sans fausse gencive

Maxillaire : bridge vissé sans fausse gencive

Le traitement non chirurgical de la parodontite

Le traitement non chirurgical de la parodontite

Le cas spécifique de la luxation de la mâchoire

Le cas spécifique de la luxation de la mâchoire

Fixation d’une prothèse par une barre sur 4 implants

Fixation d’une prothèse par une barre sur 4 implants

Extraction et implantation immédiate – mise en esthétique directe

Extraction et implantation immédiate – mise en esthétique directe

Affichage des articles 31-36 sur 174

Création par Webdentiste

Connexion